Painel Rondônia - Sua fonte de notícias na cidade de ...

Domingo, 19 de Abril de 2026

Geral

Metanol em bebidas adulteradas pode causar cegueira e até morte, alertam especialistas

Investigação em São Paulo apura intoxicações e mortes ligadas ao consumo de álcool contaminado

Painel Rondônia
Por Painel Rondônia
Metanol em bebidas adulteradas pode causar cegueira e até morte, alertam especialistas
IMPRIMIR
Espaço para a comunicação de erros nesta postagem
Máximo 600 caracteres.

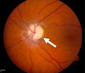
Visão borrada, fotofobia, manchas escuras no campo visual e uma névoa que se espalha até apagar completamente a capacidade de enxergar. Esses são alguns sinais de alerta para quem consome, sem saber, bebidas alcoólicas adulteradas com metanol, substância altamente tóxica que ataca diretamente o nervo óptico — estrutura essencial para a visão.

Desde o início de setembro, autoridades de São Paulo investigam casos de contaminação e mortes que podem estar associados ao consumo de bebidas falsificadas na região metropolitana da capital. Há relatos de complicações graves, incluindo ao menos uma vítima que perdeu totalmente a visão após ingerir o produto adulterado.

“O nervo óptico funciona como um cabo que conecta a retina ao cérebro, onde as imagens são processadas. Se for danificado, a transmissão falha e a visão pode ser perdida”, explica o oftalmologista Claudio Lottenberg, presidente do Conselho Deliberativo do Hospital Israelita Albert Einstein. “Ele é tão delicado que encostar a ponta de uma antena, por exemplo, já pode causar lesão irreversível.”

Leia Também:

Estudos indicam que a ingestão de apenas 10 ml de metanol diluído em um litro de bebida já é suficiente para provocar lesões neuro-oftalmológicas, incluindo a cegueira permanente. Em doses maiores, a substância é letal: 30 ml podem levar à morte.

As investigações seguem em andamento e reforçam a necessidade de maior fiscalização e de alerta à população sobre os riscos de consumir bebidas de procedência duvidosa.

FONTE/CRÉDITOS: Admin User
Comentários: